目のくま
明るい目元で若々しく
年齢を問わず 目のくま にお悩みの方は多いのではないでしょうか?
目のくまは簡単に分類すると
と分けられます。
また、このⅠ~Ⅲの2つ以上が混ざっている方も少なくありません。
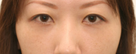
症例写真
Ⅰ:ふくらみ・凹みによるくま(影くま)
経結膜的眼窩脂肪移動術(トラコンハムラ)により治療
-
Before
-
After
Ⅱ:皮膚が茶~黒っぽく変色しているくま(茶くま)
トレチノイン治療とQスイッチレーザーにより治療
-
Before
治療前
-
After
治療開始3クール後
色素沈着が原因のくまは、美白治療が主体になります。
ハイドロキノンやトレチノイン、場合によってQスイッチレーザーを用います。
Ⅲ:青黒~赤黒く 透けているようなくま(青くま)
ライトアイズウルトラにより治療
-
Before
治療前
-
After
ライトアイズウルトラ注射1回後
このタイプのくまは治療が難しいのですが、「ライトアイズウルトラ」という注射で改善する場合がありますので、試す価値はあります。
ふくらみ・凹みによるくまの治療
目の下にできる物理的凸凹が原因で影が生じるものです。
この凸凹は、目袋によるものとtear trough と呼ばれる溝によるものがあります。
生来の個人の特徴である場合と、加齢によって隔膜がゆるみ眼窩脂肪が前方に突出して生じる場合があります。
このタイプのくまは、構造上の問題なので、
①ふくらみを平らにする
②凹みを埋める
この2つが基本的な治療の考え方となります。
これを同時に、皮膚を切ることなく行う手術方法が、『経結膜的眼窩脂肪移動術(トラコンハムラ)』です。
経結膜的眼窩脂肪移動術
経結膜的眼窩脂肪移動術について
2000年にアメリカのDr. RA Goldbergによって最初に報告された術式で、本邦では2007年の形成外科学会で当院百澤が最初に報告しました。
従来の「経結膜的脱脂術」はふくらみの原因である眼窩脂肪をまぶたの裏の結膜側から取り除くというものですが、眼窩脂肪の量は人によって大きく異なっており、取る量が多すぎて逆に凹んでしまったり、少なすぎて改善しなかったりというトラブルが生じやすいのが問題です。
また、脂肪組織を含む軟部組織は加齢に伴い目減りしてくるため、これをわざわざ取って捨ててしまうことへ警鐘を指摘する声もあります。
これらの問題点を解決するのがこの術式で、眼窩脂肪を極力温存し、凹んでいる部位に移動させることによって、よりフラットで自然な仕上がりになります。
現在日本で一般的に行われている治療は、
①「膨らみに対して眼窩脂肪の切除」+②「凹みに対して脂肪注入(太ももやお腹から脂肪を採取)」
ですが、当院で行う経結膜的眼窩脂肪移動術は、
★「膨らみの原因となっている脂肪を、凹みに移動させる」 これにより、上記①②の目的を同時に達成します。
脂肪の取りすぎにより膨らみ部分が逆に凹むこともなく、脂肪を採取する為に体の他の部位に傷を全くつける必要がなく、しかも移動させる脂肪は体から切り離さずに血管を温存したままの状態で移動させるので術後吸収されることもなくボリュームは術後の状態でずっと保たれるという点で最も優れた方法といえます。
経結膜的眼窩脂肪移動術の特徴
経結膜なので皮膚には傷跡が残りません。 また、皮膚を切開しないので眼輪筋の損傷がありません。
陥没の原因である鼻頬溝部分の付着をはずします。 これによりまぶたの血行が改善し青黒いくまが完全に消失することもあります。
眼窩脂肪は切除せず、脂肪を引き出し、ふくらみを平らにし、凹んでいる部分に移動して固定します。
切除しないため取りすぎの心配もなく、凹みを埋めるために他の部位から脂肪を採取する必要もありません。
ミッドフェイスリフトの併用により頬のボリュームが改善し法令線が浅くなるなど、より若い印象を与える結果を生み出せます。
通常の(経皮法での)ハムラ法との最大の違いは 1.です。
経皮法は、皮膚→眼輪筋→眼窩脂肪の順でアプローチしていきますので、眼輪筋を損傷するおそれがあります。しかし、経結膜法は、結膜→眼窩脂肪の順でアプローチしていきますので、眼輪筋には触れず損傷もなく安全な術式です。
お若い方は皮膚を切除する必要がなく、眼窩脂肪温存の考えも重視していますので、影くまの治療には経結膜的眼窩脂肪移動術を第一選択としています。
眼輪筋とは目の周りの筋肉で、目を閉じる役割をしています。また、眼輪筋の収縮により涙袋ができます。
経皮法で皮膚を切開すると眼輪筋も切開するので、眼輪筋の神経を切断することになります。眼輪筋を損傷すると眼輪筋の麻痺が出ることがあり、そうすると下まぶたが外反してしまうことがあります。
症例写真:目のくま(ふくらみ・凹みによるくま)
経結膜的眼窩脂肪移動術(トラコンハムラ)にて治療
-
Before
-
After
-
Before
-
After
手術の流れ
- 1.デザイン
-
- 座った状態(または仰向けに横になった状態)で細かく脂肪の位置と移動部位に印を付けます。
- 2.麻酔
-
- 局所麻酔と静脈麻酔の併用で行います。
- 静脈麻酔で眠っている間に手術を終えますので、手術中に痛みを感じることはありません。
- 3.切開
-
- 下まぶたの結膜側(まぶたの裏側)を切開します。
- 眼窩脂肪を移動させるためのスペースを作ります(骨膜上ポケット)。
- 眼窩隔膜および眼窩脂肪を切開し弁状に細工します(これを眼窩脂肪弁といいます)。
- 目の下がフラットになるように、眼窩部の形を整えます。
- 作成した骨膜上ポケットに眼窩脂肪弁を移動し、眼窩脂肪を包んでいる膜(眼窩隔膜)と眼窩脂肪を一緒に縫合固定します。
- 4.止血・圧迫
-
- 確実な止血を確認します。
- 結膜切開部の縫合をおこない、手術を終えます。(溶ける糸を使用しますので抜糸はありません。また、切開線は結膜側なので皮膚には傷跡が残りません。)
- 腫れと内出血を抑えるため目の下に茶色のテープを貼ります。
- 1時間程目元を冷やします。
アフターケア
※術後の経過は個人差がありますので、以下の説明は目安とお考え下さい。
※抜糸などはありません。
※腫れは、通常の生活に戻るまで、約1週間程度となります。
- 手術当日
- 冷やす、濡らさない、ゆっくりお休みください
- 翌日
- 洗顔、シャワー○
- 3日目
- 目の下のテープを外す
- 1~2週間後
- ・チェックの為、ご来院下さい
施術時間と費用
![]() |
60~90分前後 |
|---|---|
![]() |
500,000円 |
※消費税抜き価格
※麻酔代(50,000円)、血液検査代(10,000円)が別途必要です。
※ミッドフェイスリフト100,000円 フラクショナルレーザー30,000円
皮膚が黒っぽく変色しているくまの治療
目の周囲にメラニン色素が沈着している状態です。
まぶたの周りの皮膚は体の中で最も薄い部分なので色素沈着も目立ちやすく黒味も強く見えてしまいます。
そのため皮膚よりメラニン色素を排出させることが治療の基本であり、トレチノインとハイドロキノンの2つの塗り薬とレーザー治療の組み合わせがもっとも有効な治療方法です。
日常の皮膚のお手入れ、お化粧をするときも落とすときもなるべく肌に優しくケアすることを心がけることも非常に重要です。








くまの治療はその種類によって異なるのですが当院で行っている 『経結膜的眼窩脂肪移動術(トラコンハムラ)』 はⅠのタイプのくまに対しては、非常に効果の高く安定した手術であると考えております。